Обзор: Автор рекламы сигаретных
Автор рекламы сигаретных компаний скончался от туберкулёза в 1918, 1922, 1924 или 1925 году.

Сигаре́та — курительное табачное изделие в виде бумажной трубки, внутри которой находится специальный сигаретный табак. Могут быть с фильтром или без него.
Комме́рческая организа́ция — форма организации, в которой прибыль преследуется в качестве основной цели деятельности, в отличие от некоммерческой организации, которая не имеет целью извлечение прибыли и не распределяет полученную прибыль между участниками.
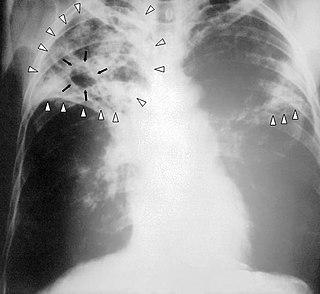
Туберкулёз — широко распространённое в мире инфекционное заболевание человека и животных, вызываемое различными видами микобактерий из группы Mycobacterium tuberculosis complex, или иначе палочками Коха. Туберкулёз обычно поражает лёгкие, реже затрагивая другие органы и системы. Mycobacterium tuberculosis передаётся воздушно-капельным путём при разговоре, кашле и чихании больного. Чаще всего после инфицирования микобактериями заболевание протекает в бессимптомной, скрытой форме (тубинфицированность), но примерно один из десяти случаев скрытой инфекции, в конце концов, переходит в активную форму. Для человека заболевание является социально зависимым.
Ганс Руди Эрдт ; — немецкий художник, дизайнер, специалист по литографии, рекламной и книжной графике, известный мастер немецкого плаката 1906—1918 годов.
Теги: Эрдт, Ганс Руди Сигарета Коммерческая организация Туберкулёз Автор рекламы компаний скончался туберкулёза 1918 1922 1924 1925 году