Обзор: Человек эволюционирует и сегодня: у

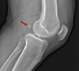
Человек эволюционирует и сегодня: у него появляются новые кости (на илл.) и артерии.

Антропогене́з — часть биологической эволюции, которая привела к появлению человека разумного, отделившегося от прочих гоминид, человекообразных обезьян и плацентарных млекопитающих, процесс историко-эволюционного формирования физического типа человека, первоначального развития его трудовой деятельности, речи. Изучением антропогенеза занимается множество наук, в частности, антропология, палеоантропология, археология, генетика, лингвистика.

Срединная артерия — артерия предплечья у млекопитающих. У людей этот кровеносный сосуд редко встречается как стандартный вариант; напротив, у псовых, кошачьих, свиней, лошадей и жвачных это самый сильный сосуд предплечья и прямое продолжение плечевой артерии после общей межкостной артерии.

Фабелла — небольшая сесамовидная кость, обнаруженная у некоторых млекопитающих, встроенная в сухожилие боковой головки икроножной мышцы позади латерального мыщелка бедренной кости. Это дополнительная кость, анатомическая вариация, присутствующая у 39 % людей. В редких случаях таких костей бывает две или три. Эту кость можно принять за дряблое тело или остеофит. Слово fabella — это латинское уменьшительное от слова faba, означающего «фасоль».

Теги: Антропогенез Фабелла Срединная артерия Человек него появляются новые кости артерии

×

Корректировка статьи


Читайте также