Обзор: Диагноз этой болезни появился раньше,
Диагноз этой болезни появился раньше, чем её научились правильно диагностировать.
Диáгноз — медицинское заключение о состоянии здоровья обследуемого, а также сущности болезни и состоянии пациента, выраженное в принятой медицинской терминологии и основанное на всестороннем систематическом изучении пациента. Процесс установления диагноза называется диагностикой. Медицинское обозначение: Ds.
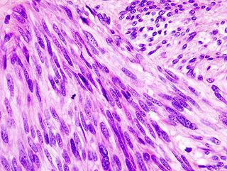
Гастроинтестинальная стромальная опухоль — наиболее распространённая мезенхимальная опухоль желудочно-кишечного тракта, составляющая 1-3 % от всех гастроинтестинальных опухолей. Как правило, ГИСО обусловлена мутацией в гене KIT или PDGFRA, окраска на kit вариабельна.
Медици́нская диагно́стика — процесс установления диагноза, то есть заключения о сущности болезни и состоянии пациента, выраженное в принятой медицинской терминологии. Этим же термином называется и раздел клинической медицины, изучающий содержание, методы и последовательные ступени процесса распознавания болезней или особых физиологических состояний.
Теги: Диагноз Гастроинтестинальная стромальная опухоль Диагностика (медицина) этой болезни появился раньше научились правильно