Обзор: «Хоббита» из Индонезии записывали то
«Хоббита» из Индонезии записывали то в микроцефалы, то в кретины.


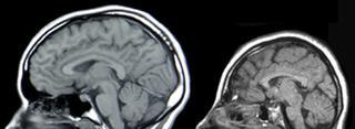
Микроцефалия — значительное уменьшение размеров черепа и, соответственно, головного мозга при нормальных размерах других частей тела. Микроцефалия сопровождается умственной недостаточностью — от нерезко выраженной имбецильности до идиотии. Встречается редко, в среднем в 1 случае на 6—8 тысяч рождений.
Человек фло́ресский — возможный карликовый вид ископаемых людей. Из-за малого роста флоресский человек известен также как «хоббит». Останки Homo floresiensis обнаружены в 2003 году в Индонезии, где найдены несколько скелетов разной степени сохранности возрастом приблизительно в 13—95 тысяч лет. По единственному известному черепу и наиболее полно сохранившимся скелетам рост флоресских людей оценивается примерно в 1 м, а объём головного мозга в 400 см³, что в три раза меньше объёма мозга современного человека и приближается к параметрам, характерным для австралопитеков. Исследователи отмечают также многочисленные архаичные черты в строении черепа и конечностей флоресских людей.
Кретини́зм — эндокринное заболевание, вызываемое недостатком гормонов щитовидной железы, характеризуется выраженным снижением функции щитовидной железы, задержкой физического и умственного развития.
Индоне́зия, официальное название — Респу́блика Индоне́зия — государство в Юго-Восточной Азии. Население, по официальным итогам переписи 2020 года, составляет 270 203 917 человек, территория — 1 904 569 км², по обоим этим показателям является крупнейшей страной региона. Занимает 4-е место в мире по численности населения, 15-е по территории, 7-я экономика мира.
Теги: Человек флоресский Индонезия Микроцефалия Кретинизм Индонезии записывали