Обзор: В XIX веке в распространении

В XIX веке в распространении чахотки журналисты обвиняли вампиров.

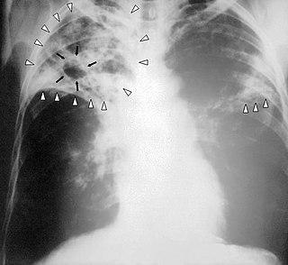
Туберкулёз — широко распространённое в мире инфекционное заболевание человека и животных, вызываемое различными видами микобактерий из группы Mycobacterium tuberculosis complex, или иначе палочками Коха. Туберкулёз обычно поражает лёгкие, реже затрагивая другие органы и системы. Mycobacterium tuberculosis передаётся воздушно-капельным путём при разговоре, кашле и чихании больного. Чаще всего после инфицирования микобактериями заболевание протекает в бессимптомной, скрытой форме (тубинфицированность), но примерно один из десяти случаев скрытой инфекции, в конце концов, переходит в активную форму. Для человека заболевание является социально зависимым.

Вампирская паника в Новой Англии — реакция на вспышку туберкулёза в XIX веке в США на территории Род-Айленда, восточного Коннектикута, южного Массачусетса, Вермонта и других районов штатов территории Новой Англии. Вспышки туберкулёза распространились среди населения, и для жителей болезнь стала невидимой угрозой, так как о причине заболевания никто не знал. Эпидемия была настолько серьёзной, что с 1786 по 1800 год она унесла около 2% жителей региона.

Теги: Туберкулёз Вампирская паника в Новой Англии веке распространении журналисты обвиняли вампиров

×

Корректировка статьи


Читайте также