Обзор: Врач, вторым в мире применивший
Врач, вторым в мире применивший новый метод лечения лейкемии, однажды напрасно отказался от старого.

Пуповинная кровь — это кровь, сохранившаяся в плаценте и пуповинной вене после рождения ребёнка. В пуповинной крови содержится некоторое количество стволовых клеток, которые потенциально могут быть собраны и использованы в лечении некоторых болезней у других людей.
Транспланта́ция гемопоэти́ческих стволовы́х кле́ток — трансплантация стволовых кроветворных клеток костного мозга или крови. ТГК — медицинская процедура, применяемая в гематологии и онкологии при заболеваниях крови и костного мозга, а также некоторых иных злокачественных заболеваниях.
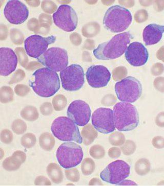
Лейко́з — клональное злокачественное (неопластическое) заболевание кроветворной системы. К лейкозам относится обширная группа заболеваний, различных по своей этиологии. При лейкозах злокачественный клон может происходить как из незрелых гемопоэтических клеток костного мозга, так и из созревающих и зрелых клеток крови.
Ве́слав Ви́ктор Ендже́йчак — польский врач-гематолог, специалист по болезням внутренних органов, клинический онколог, трансплантолог, почётный доктор медицины и профессор Варшавского медицинского университета.
Теги: Енджейчак, Веслав Пуповинная кровь Лейкоз Трансплантация гемопоэтических стволовых клеток Врач вторым мире новый метод лечения однажды напрасно отказался старого